Pandan wangi Leaves
Pandanus amaryllifolius Roxb.
Pandanaceae
DEFINITION
Pandan wangi leaves consist of the powder of dried leaves of P. amaryllifolius Roxb. (Pandanaceae).
SYNONYM
Pandanus latifolius Hassk., Pandanus hasskarlii Merr., Pandanus latifolius var. minor Hassk., Pandanus odorus Ridl [ 1 , 2 ].
VERNACULAR NAMES
Fragrant pandan, fragrant screwpine, indonesian screwpine, umbrella tree (English); Pandan wangi, pandan bau, pandan rampai (Malay); Qi ye lan (Chinese), Ramba (Tamil) [ 1 , 3 ].
CHARACTER
| Colour | Light green (fresh leaf), yellowish green (powder) |
| Odour | Aromatic |
| Taste | Sweet [ 4 ] |
IDENTIFICATION
Plant Morphology
P. amaryllifolius is a shrub that grows in two forms: up to height of 1.6 m as small form and up to 4.5 m as large form. Stem is slender, about 2–5 cm thick. Leaves green to pale green, broad, linear, prominent twin lateral pleats above, the margins entire except at leaf apex with presence of few prickles with 1 mm long; adult leaves are about 80–110 cm long and 6–8 cm wide with rather abruptly rounded or acute tip. Male flowers are extremely rare, and there is no scientific description of a female flower for this species. Fruits also never been reported [ 5 , 6 ].
Microscopy
Powdered material consists of epidermis layer with paracytic stomata; oil globule; simple multicellular trichome; annular vessel; and acicular crystal.





Figure 2 : Microscopic characteristics of Pandanus amaryllifolius leaf powder of 0.355 mm size. (a) Epidermal layer with paracytic stomata (magnification 80x); (b) oil globule (arrow) (magnification 80x); (c) simple multicellular trichome (magnification 80x); (d) annular vessel (arrow) (magnification 60x); (e) acicular crystal (magnification 80x). [Scale bars: a, b, c, d, e = 20 µm]
Colour Tests
Observed colour of solution after treatment with various reagents:
| H2SO4 (conc.) | Green → Brown |
| KOH (5%) | Yellow |
| NH4OH (25%) | Yellow |
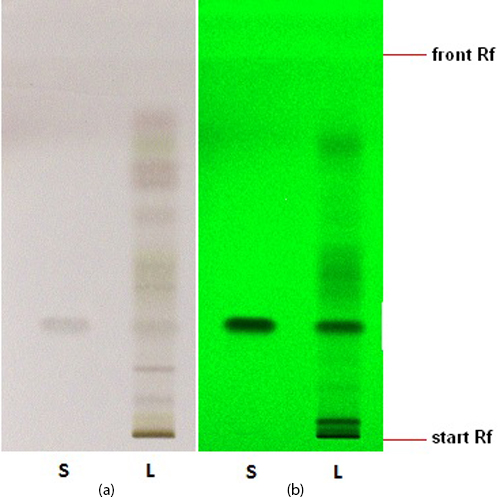
Thin Layer Chromatography (TLC)

Figure 3 : TLC chromatogram of gallic acid (S), ethanol extract of Pandanus amaryllifolius dried leaves powder (L) observed under (a) visible light after derivatization and (b) UV at 254 nm before derivatization.
| Test Solutions | Weigh about 4.0 g of P. amaryllifolius dried leaves powder into 100 mL round flask. Add 15 mL of ethanol and heat under reflux for 10 min at 80°C. Decrease reflux temperature to 40ºC and continue extraction for next 20 min. Turn off the reflux and allow cooling at room temperature. Filter the mixture with filter paper into evaporating dish. Evaporate the filtrate to dryness. After well drying dissolve residue in 1 mL methanol and filtrate. Use the filtrate as test solution. |
| Standard solution | Dissolve gallic acid standard [CAS no: 149-91-7] in methanol to produce 1.0 mg/mL solution. |
| Stationary Phase | Glass plate HPTLC Si 60 F254 5×10 cm |
| Mobile phase | Toluene: ethyl acetate: formic acid; (5 : 4 : 1) (v/v/v) |
| Application |
|
| Development distance | 8 cm |
| Drying | Drying method |
| Detection |
|
High Performance Liquid Chromatography (HPLC)
| Test solution | Weigh about 4.0 g of P. amaryllifolius dried leaves powder into 100 mL round flask. Add 15 mL of ethanol and heat under reflux for 10 min at 80°C. Decrease reflux temperature to 40ºC and continue extraction for next 20 min. Turn off the reflux and allow cooling at room temperature. Filter the mixture with filter paper into evaporating dish. Evaporate the filtrate to dryness. After well drying dissolve residue in 1 mL methanol. Filter the mixture with 0.45 µm syringe filter into vial. Use the filtrate as test solution. | ||||||||||||||||||
| Standard solution | Dissolve gallic acid standard [CAS no: 149-91-7] in methanol to produce 1.0 mg/mL solution. | ||||||||||||||||||
| Chromatographic system |
Detector: UV 280nm Column: C18 (5 µm, 4.6 mm i.d × 250 mm) (Zorbax Eclipse, if necessary) Column oven temperature: 35oC Flow rate: 1.0 mL/min. Injection volume: 1 µL |
||||||||||||||||||
| Mobile Phase (gradient mode) |
|
||||||||||||||||||
| System suitability requirement |
Perform at least five replicate injection of the gallic acid (1.0 mg/mL). System suitability requirement are as follow:
|
||||||||||||||||||
| Acceptance criteria |
|

(a)

(b)
Figure 5 : HPLC chromatogram highlighting the elution region of gallic acid in (a) gallic acid standard solution (1.0 mg/mL) at tr = 2.698 min and (b) ethanol extract of Pandanus amaryllifolius dried leaves powder showing peak corresponding to gallic acid standard solution at tr = 2.736 min.
PURITY TESTS
The purity tests are based on P. amaryllifolius dried leaves powder of 0.355 mm particle size.
| Foreign Matter |
| Not more than 2% |
| Ash Contents | |
| Total ash | Not more than 10% |
| Acid-insoluble ash | Not more than 1% |
| Loss on Drying |
| Not more than 8% |
| Extractive Values | |
| Water-soluble extracts | |
| Hot method | Not less than 18% |
| Cold method | Not less than 14% |
| Ethanol-soluble extracts | |
| Hot method | Not less than 7% |
| Cold method | Not less than 5% |
SAFETY TESTS
| Heavy Metals | |
| Arsenic | Not more than 5.0 mg/kg |
| Mercury | Not more than 0.5 mg/kg |
| Lead | Not more than 10.0 mg/kg |
| Cadmium | Not more than 0.3 mg/kg |
| Microbial Limits | |
| Total bacterial count | Not more than 105 cfu/g |
| Total yeast and mould count | Not more than 104 cfu/g |
| Bile-tolerant gram negative | Not more than 104 cfu/g |
| Specific Pathogens | |
| Salmonella spp. | Absent in 25 g |
| Escherichia coli | Absent in 1 g |
| Staphylococcus aureus | Absent in 1 g |
| Pseudomonas aeruginosa | Absent in 1 g |
CHEMICAL CONSTITUENTS
Ethanol extract of P. amaryllifolius leaves was found to contain gallic acid [ 7 , 8 ] and alkaloid (e.g. pandamarilactonines-A and-B) [ 9 ].
Ethanol (70%) extract of freeze-dried leaves of P. amaryllifolius was found to contain free amino acids (e.g. aspartic acid, glutamic acid, valine, threonine) [ 10 ].
Chloroform extract of fresh leaves of P. amaryllifolius was found to contain alkaloids (e.g. pandamarilactone-1, pandamarilactone-32 and pandamarilactone-31) [ 11 ].
MEDICINAL USES
Uses described in folk medicine, not supported by experimental or clinical data
Traditionally, the fresh leaves of P. amaryllifolius are applied to hair and as a lotion to treat measles and anaemia. It is used as in a drought to treat gonorrhoea, syphilis and sapraemia and also used for bathing after childbirth [ 12 ]. After soaking of the leaves of P. amaryllifolius in coconut oil, the oil was used externally as a sedative for restlessness
[ 13 ].
Biological and pharmacological activities supported by experimental data
Antimicrobial activity
Ethanol extract of P. amaryllifolius leaves (30 mg/mL) inhibited the growth of Pseudomonas and Bacillus subtilis with inhibition zones ranging of 4.25 mm/mg and 3.2 mm/mg using paper disc diffusion [ 14 ].
Aqueous extract of P. amaryllifolius leaves (5 and 40%) inhibited the growth of Staphylococcus aureus (ATCC 25923) with inhibition zones of 6 and 13 mm, Escherichia coli (ATCC 25922) 6 mm and Pseudomonas aeruginosa (ATCC 27853) 6 mm using paper disc diffusion assay [ 15 ].
Antidiabetic activity
Ethanol (80%) extract of P. amaryllifolius leaves (100mg/kg, 5 mL/kg body weight once a week) orally administered to male albino mice (20 to 30 g) for a duration of 15 days significantly (p < 0.01) reduce the serum glucose level from mean values of 6.26 mmol/L to 3.18 mmol/L respectively, compared to glibenclamide (10 mg/kg, from 6.10 to 2.55 mmol/L) and untreated diabetic mice (from 5.4 to 7.98 mmol/L) [ 16 ].
Antioxidant activity
Methanol extract of P. amaryllifolius leaves (12.5 mg/mL) showed antioxidant activity with ferric ion reducing ability (511.2 μmol of Fe (II)/g ) compared to butylated hydroxytoluene (BHT) (672.4 μmol Fe (II)/g) and Vitamin C (1186.55 μmol Fe (II)/g) using ferric reducing antioxidant potential [ 8 ].
Methanol (100%) extract of P. amaryllifolius leaves (12.5 mg/mL) showed antioxidant activity with 1,1-diphenyl-2-picrylhydrazyl (DPPH) scavenging activity with inhibition concentration at 50% of growth (IC50) of 9.25 mg/mL compared to BHT (IC50 = 8.1 mg/mL) using DPPH assay [ 8 ].
Methanol (100%) extract of P. amaryllifolius leaves (40 mg/mL) showed antioxidant activity with 1,1-diphenyl-2-picrylhydrazyl (DPPH) scavenging activity with inhibition concentration of 0.81 mg/mL compared to BHT (IC50 = 0.29 mg/mL) and vitamin C (IC50 = 0.012 mg/mL) using DPPH assay [ 17 ].
Methanol (100%) extract of P. amaryllifolius leaves (40 mg/mL) showed 49.3% inhibition of lipid peroxidation at concentration of 200 ppm compared to vitamin C (57.1 %) and BHT (71.1 %) using ferric thiocyanate assay [ 17 ].
Anticancer activity
Methanol (100%) extract of P. amaryllifolius leaves showed anticancer activity against breast cancer cell line (MCF-7) with inhibition concentration at 50% of growth (IC50) of 210.4 μg/mL compared to tamoxifen (IC50 = 61 μg/mL) using MTT assay [ 8 ].
Clinical studies
Postprandial antihyperglycemic activity
Water extract of P. amaryllifolius leaves (0.1 g/mL) administrated orally to 30 healthy volunteers (15 female, 15 male) 15 min after glucose loading by drinking glucose solution (75 g glucose in 0.3 L water). The average postprandial plasma glucose concentration peaks in treated group (6.16 ± 0.79 mmol/L) was significantly (p < 0.05) lower than that in control group (6.94 ± 0.98 mmol/L) [ 18 ].
SAFETY INFORMATION
Preclinical studies (Toxicology studies)
Acute toxicity
Oral single dose acute toxicity study on female Sprague Dawley rats (aged between 8 and 12 weeks old) using aqueous extract of P. amaryllifolius leaves showed no toxic effect on the parameters observed, including behaviours, body weight, food and water intake. All rats were observed for 14 days prior to necropsy. No death was found throughout the study period. Necropsy revealed no significant abnormality. Half lethal dose (LD50) is more than 2,000 mg/kg body weight [ 19 ].
Others (Adverse reaction, contraindication, side effect, warning, precaution)
Information and data have not been established.
DOSAGE
Information and data have not been established.
STORAGE
Store below 30°C. Protect from light and moisture.
REFERENCES
- Seidemann J. World spice plants: Springer; 2005.
- Graphical contents list. In: Phytochemistry. Vol. 68; 2007:2025-2028.
- Shah BA, Kaur R, Gupta P, Kumar A, Sethi VK, Andotra SS, Singh J, Saxena AK, Taneja SC. Structure–activity relationship (SAR) of parthenin analogues with pro-apoptotic activity: Development of novel anti-cancer leads. Bioorganic & Medicinal Chemistry Letters. 2009;19(15):4394-4398.
- Wongpornchai S. Pandan wangi. Handbook of herbs and spices. 2006:453.
- Wakte KV, Nadaf AB, Thengane RJ, Jawali N.Pandanus amaryllifolius Roxb. cultivated as a spice in coastal regions of India. Genetic resources and crop evolution 2009;56(5):735-740.
- Stone BC. Studies in Malesian Pandanaceae XVII on the taxonomy of pandan wangi a pandanus cultivar with scented leaves. Economic Botany. 1978; 32(3):285-293.
- Nor FM, Mohamed S, Idris NA, Ismail R. Antioxidative properties of Pandanus amaryllifolius leaf extracts in accelerated oxidation and deep frying studies. Food chemistry. 2008;110(2):319-327.
- Ghasemzadeh A, Jaafar HZ. Profiling of phenolic compounds and their antioxidant and anticancer activities in pandan (Pandanus amaryllifolius Roxb.) extracts from different locations of Malaysia. BMC complementary and alternative medicine. 2013;13(1):1.
- Takayama H, Ichikawa T, Kitajima M, Aimi N, Lopez D, Nonato MG. A new alkaloid, pandanamine; finding of an anticipated biogenetic intermediate in Pandanus amaryllifolius Roxb. Tetrahedron Letters. 2001;42(16):2995-2996.
- Chaiseri S, Cheetangdee V. Free amino acid and reducing sugar composition of pandan (Pandanus amaryllifolius) leaves. Kasetsart Journal: Natural Science 40 (Supplement II). 2006:8.
- Nonato MG, Garson MJ, Truscott RJ, Carver JA. Structural characterization of piperidine alkaloids from Pandanus amaryllifolius by inverse-detected 2D NMR techniques. Phytochemistry. 1993;34(4):1159-1163
- Burkill IH, Haniff M. Malay Village Medicine: Prescriptions Collected by: University Press. 1930.
- Perry LM, Metzger J. Medicinal plants of east and southeast Asia: attributed properties and uses: MIT press;1980.
- Murhadi SA, dan Susilawati. Aktivitas antibakteri ekstrak daun salam (Syzygium polyanta) dan daun pandan (Pandanus amaryllifolius). Jurnal Teknologi dan Industri Pangan. 2007;18(1):8.
- Dumaoal OSR, Alaras LB, Dahilan KG, Depadua AA, Pulmones CJG. In vitro activity of pandan (Pandanus amaryllifolius) leaves crude extract against selected bacterial isolates. JPAIR Multidisciplinary Research. 2010;4(1).
- Sasidharan S, Sumathi V, Jegathambigai NR, Latha LY. Antihyperglycaemic effects of ethanol extracts of Carica papaya and Pandanus amaryfollius leaf in streptozotocin-induced diabetic mice. Natural product research. 2011; 25(20):1982-1987.
- Jimtaisong A, Krisdaphong P. Antioxidant activity of Pandanus amaryllifolius leaf and root extract and its application in topical emulsion. Tropical Journal of Pharmaceutical Research. 2013;12(3):419-423.
- Chiabchalard A, Nooron N. Antihyperglycemic effects of Pandanus amaryllifolius Roxb. leaf extract. Pharmacognosy magazine. 2015;11(41):117.
- Norizah A, Nurulfariza R, Wan Mohammad Adham Afiq WZ, Teh BP, Hussin M. Acute oral toxicity study of selected Malaysian medicinal herbs on Sprague Dawley rats. Institute for Medical Research, Ministry of Health; 2015. Report no.: HMRC 11-045/01/PO/L/J.





